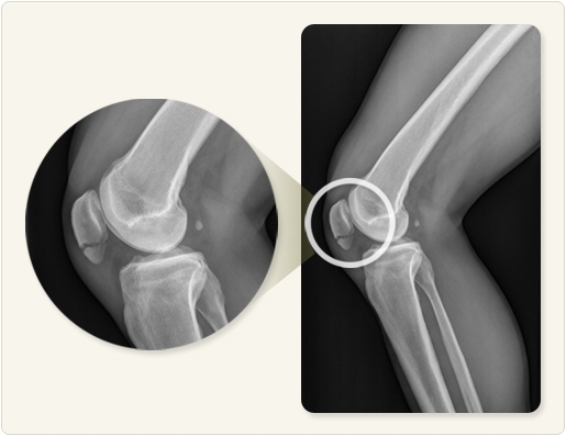
무릎 슬개골 골절은 일상생활에 큰 제약을 주는 부상 중 하나입니다. 수술 후 회복 과정은 통증, 보행 불편, 재활 등 복합적인 요소가 함께 작용하기 때문에 정확하고 체계적인 관리가 필요합니다. 이 글에서는 무릎 슬개골 골절 수술 후 회복을 빠르게 하기 위한 방법들을 단계별로 소개드리며, 올바른 회복 전략을 통해 일상으로 더 빨리 복귀하실 수 있도록 돕겠습니다.

슬개골 골절 수술 후 회복의 중요성과 개요
슬개골은 무릎 앞쪽에 위치한 뼈로, 강한 외상이나 낙상 등으로 골절이 발생할 수 있습니다. 수술로 고정한 이후 회복은 3개월 이상 걸릴 수 있으며, 회복 속도는 개인의 체력, 재활 순응도, 수술 방식 등에 따라 달라집니다. 최근에는 물리치료와 자가운동 프로그램을 조기부터 병행함으로써 회복을 앞당기는 사례가 늘고 있습니다. 따라서 단계별 관리가 무엇보다 중요합니다.



단계별 회복 방법
초기 안정기 (수술 후 0~2주)
- 고정기 착용: 슬개골 움직임을 최소화하여 안정적으로 붙도록 돕습니다.
- 냉찜질 및 부종 관리: 통증과 염증을 줄이기 위해 하루 3~4회 냉찜질을 권장합니다.
- 수동적 관절 가동범위(PROM): 담당 물리치료사 지도하에 부드럽게 시행합니다.
중기 회복기 (2~6주)
- 관절 가동범위 증가: 무릎 굽힘 각도를 점진적으로 늘려갑니다. 초기엔 30도에서 시작해 90도 이상까지 목표로 합니다.
- 등척성 운동 시작: 허벅지 근육(대퇴사두근)을 수축하는 운동으로 근력 유지를 돕습니다.
- 부분 체중 부하 시작: 의사 지시에 따라 목발 등을 사용하여 점진적으로 걷기 연습을 합니다.
후기 회복기 (6~12주)
- 정상 보행 연습: 보조기 제거 후 자연스러운 보행 패턴을 회복합니다.
- 자전거 운동: 관절 유연성 및 근력 향상에 효과적인 유산소 운동입니다.
- 가벼운 하체 근력운동: 스쿼트, 레그프레스 등으로 슬개골 주위 근육을 강화합니다.
완전 회복 이후 (12주 이후)
- 스포츠 복귀 준비: 뛰기, 점프, 방향 전환 운동 등을 점진적으로 도입합니다.
- 균형·민첩성 훈련: 근육의 협응력과 균형감을 회복하여 부상 재발을 방지합니다.



회복 속도를 높이는 추가 전략
영양 섭취
뼈와 근육 회복을 위한 필수 영양소로는 칼슘, 비타민 D, 단백질이 있습니다. 특히 단백질은 수술 후 손상된 조직의 회복을 도와주며, 육류, 두부, 달걀, 유제품 등을 통해 보충할 수 있습니다.
냉찜질 및 부종 관리
수술 부위의 부종은 통증 및 관절 가동범위 제한을 유발할 수 있습니다. 냉찜질은 하루 15~20분씩, 수술 후 최소 2~3주간 꾸준히 시행하는 것이 좋습니다.
정기 검진과 재활 프로그램의 지속
전문의의 진단에 따라 재활 계획을 주기적으로 조정해야 하며, 스스로 재활을 중단하는 것은 회복 지연의 원인이 될 수 있습니다. 의료진과 지속적인 상담을 통해 최적의 회복 속도를 유지하는 것이 중요합니다.



마무리 및 요약
무릎 슬개골 골절 수술 후의 회복은 단순히 시간이 해결해주는 문제가 아닙니다. 각 회복 단계에 맞는 관리와 운동, 그리고 영양까지 종합적으로 신경 써야 빠르고 건강한 회복이 가능합니다. 모든 과정은 전문가의 지도를 받아 진행하시길 권장드립니다. 꾸준한 관리로 빠르게 건강을 되찾으시길 바랍니다.
무릎골절수술 후 재활치료 운동방법 총정리
무릎골절 수술을 받으셨다면, 이제부터 진짜 회복의 시작입니다. 수술만큼 중요한 재활치료, 어떻게 해야 하는지 단계별로 자세히 알려드리도록 하겠습니다. 무릎골절과 수술 후 회복 과정 이
misterdaddy.co.kr
퇴행성 관절염에 좋은 운동 추천
퇴행성 관절염일수록 ‘적절한 운동’은 치료만큼 중요합니다. 오히려 운동을 하지 않으면 관절이 더 굳고, 통증은 심해질 수 있습니다. 많은 의사들과 물리치료사들이 ‘관절염 환자에게 맞
misterdaddy.co.kr
무릎 관절에 좋은 영양제 권장 섭취량 방법 알아보기
무릎 관절은 우리 몸에서 가장 중요한 관절 중 하나로, 체중을 지탱하고 다양한 움직임을 가능하게 합니다. 하지만 노화, 운동 부족, 잘못된 자세, 영양 결핍 등의 이유로 무릎 관절 건강이 나빠
misterdaddy.co.kr
무릎 골절 수술 비용, 병원별 가격과 보험 적용 총정리
무릎 골절은 사고나 낙상으로 인해 발생할 수 있으며, 상태에 따라 깁스 치료 또는 수술이 필요합니다. 특히 무릎 골절 수술은 골절의 정도, 사용하는 수술 기법, 병원의 종류에 따라 비용 차이
misterdaddy.co.kr
무릎 골절 회복 기간, 빠르게 회복하는 방법 총정리!
무릎 골절은 생활 속에서 흔히 발생할 수 있는 부상 중 하나입니다. 교통사고, 낙상, 스포츠 활동 중 충격 등 다양한 원인으로 발생할 수 있으며, 골절의 정도와 치료 방법에 따라 회복 기간이 달
misterdaddy.co.kr
'소소한 일상의 정보' 카테고리의 다른 글
| 의료비 환급금 조회 및 환급 신청방법 (1) | 2025.09.01 |
|---|---|
| 상생페이백 신청방법 및 소비 불인정 사용처 알아보기 (2) | 2025.08.22 |
| 2025 공연전시 할인쿠폰 받는방법 알아보기 (6) | 2025.08.07 |
| 치쿤구니야열 증상, 치료법, 예방법 알아보기 (10) | 2025.08.06 |
| 민생회복 소비쿠폰 8월 내 소진 시 카드사 추가 혜택(+최대 5만원) (4) | 2025.07.28 |