마이코플라즈마 폐렴균으로 올해 입원한 환자가 2만 명이 넘었다고 합니다. 이 병원체는 일반적으로 사람의 호흡기에서 감염을 일으키며, 특히 어린이와 청소년, 그리고 젊은 성인에게 흔합니다. 그러나 이 질환은 모든 연령대에서 발생할 수 있습니다. 비록 전형적인 폐렴과는 다르게 상대적으로 경미한 증상을 보이는 경우가 많지만, 제대로 치료하지 않으면 만성 질환이나 합병증으로 이어질 수 있습니다. 오늘은 마이코플라즈마 폐렴 원인, 증상, 진단 그리고 예방방법에 대해서 알아보겠습니다.

마이코플라즈마 폐렴의 원인

마이코플라즈마 폐렴의 주요 원인균인 Mycoplasma pneumoniae는 다른 세균과 차별화되는 독특한 특성을 가지고 있습니다. 일반적인 세균과 달리 세포벽이 없으며, 세포벽을 타겟으로 하는 항생제(예: 페니실린)로는 치료가 불가능합니다. 이는 마이코플라즈마가 항생제 내성에 강하다는 점에서 매우 중요한 특성입니다.
이 병원체는 주로 사람 사이에서 비말 감염으로 전파됩니다. 기침이나 재채기를 통해 퍼지는 작은 물방울에 섞여 있는 세균이 호흡기를 통해 다른 사람에게 전염될 수 있습니다. 또한 밀접한 공간에서 생활하는 사람들, 예를 들어 학교나 군대 등에서는 감염 위험이 높아집니다. 마이코플라즈마 폐렴은 주로 여름과 가을에 발병 빈도가 증가하는 것으로 알려져 있습니다.
마이코플라즈마 폐렴 증상



마이코플라즈마 폐렴의 증상은 2~3주의 잠복기를 거쳐 점진적으로 발생하며, 감염 초기에는 감기와 매우 유사한 경미한 증상을 보이는 경우가 많습니다. 주된 증상으로는 다음과 같은 것들이 있습니다:
- 기침: 마른기침이 가장 흔한 증상으로, 며칠 또는 몇 주 동안 지속될 수 있습니다. 때때로 점액이나 가래를 동반한 기침이 나타나기도 합니다.
- 발열: 가벼운 열감이 있을 수 있지만, 전형적인 폐렴에서 볼 수 있는 고열은 잘 나타나지 않습니다.
- 두통: 감염 초기에는 두통이 동반되는 경우가 많습니다.
- 전신 쇠약: 감염이 진행됨에 따라 환자는 피로를 쉽게 느끼며, 일상적인 활동을 유지하는 데 어려움을 겪을 수 있습니다.
- 근육통: 몸살이나 근육통 증상이 나타날 수 있습니다.
- 호흡곤란: 드물지만, 심한 경우에는 호흡이 어려워질 수 있습니다.
이 외에도 감염이 심해질 경우 2~6주까지 기침, 전신 쇠약이 지속될 수 있고, 피부 발진, 관절염, 중추신경계 증상, 뇌염 등 호흡기 외적인 증상이 나타나기도 합니다.
마이코플라즈마 폐렴 진단



마이코플라즈마 폐렴의 진단은 임상 증상과 병력, 그리고 여러 가지 검사를 통해 이루어집니다. 일반적인 폐렴과 증상이 유사하기 때문에 정확한 진단을 위해서는 추가적인 검사가 필수적입니다. 대표적인 진단 방법으로는 다음과 같은 것들이 있습니다:
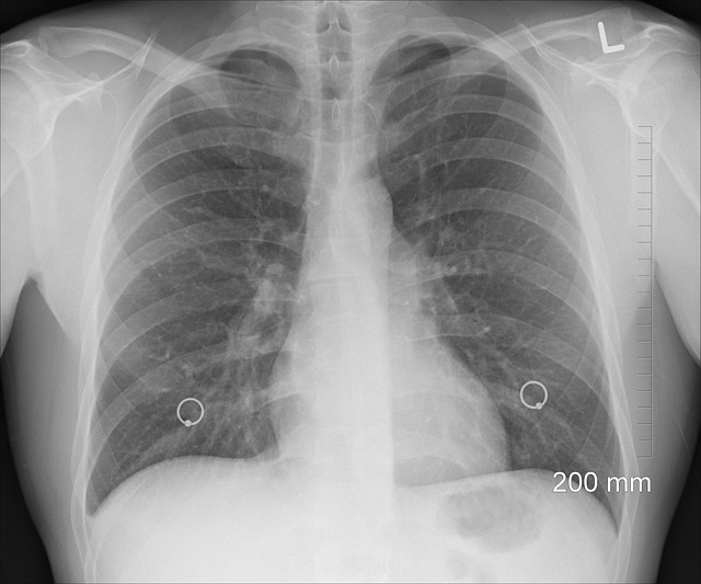
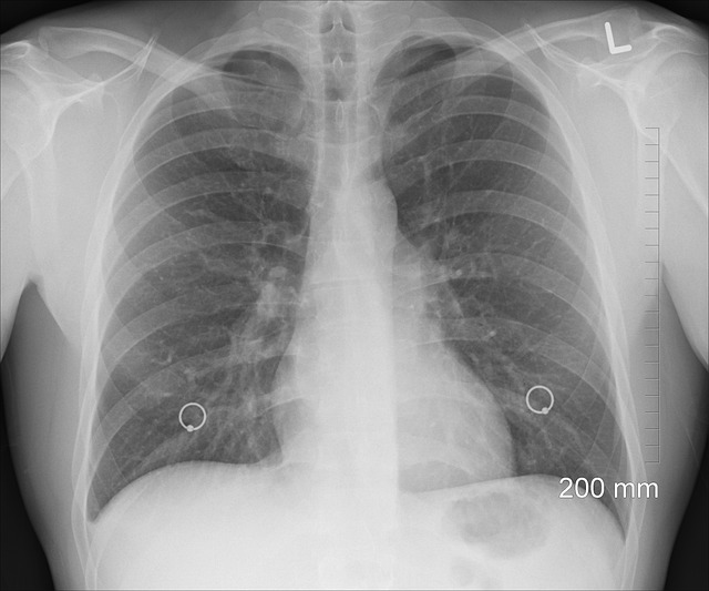
- 흉부 X-ray: 마이코플라즈마 폐렴의 경우, X-ray 상에서 특유의 패턴을 확인할 수 있습니다. 그러나 마이코플라즈마 폐렴은 다른 폐렴과 달리 비교적 덜 심한 폐렴 형태를 보일 수 있어, 영상에서 큰 변화가 없을 수도 있습니다.
- 혈액 검사: 환자의 혈액에서 마이코플라즈마 항체를 측정하여 감염 여부를 확인할 수 있습니다. 특히, IgM 항체가 감염 초기 단계에서 검출될 수 있으며, 이는 최근 감염을 의미합니다.
- PCR 검사: 마이코플라즈마 폐렴 진단에 매우 민감하고 정확한 방법으로, 환자의 호흡기 분비물에서 Mycoplasma pneumoniae의 DNA를 검출할 수 있습니다. 이 방법은 진단율이 매우 높아 최근 가장 선호되는 검사 중 하나입니다.
마이코플라즈마 폐렴 치료
마이코플라즈마 폐렴은 바이러스성 폐렴과는 달리 세균성 감염이므로, 항생제로 치료할 수 있습니다. 그러나 세포벽을 타겟으로 하는 항생제는 효과가 없으므로, 적절한 항생제를 선택하는 것이 중요합니다. 마이코플라즈마 폐렴에 효과적인 항생제로는 마크로라이드(Macrolide), 테트라사이클린(Tetracycline), 플루오로퀴놀론(Fluoroquinolone) 계열의 약물이 주로 사용됩니다.
마크로라이드 항생제(예: 아지트로마이신)는 일반적으로 성인과 소아에게 가장 많이 사용되며, 테트라사이클린(예: 독시사이클린)은 8세 이상의 어린이와 성인에게 적합합니다. 이 외에도 플루오로퀴놀론(예: 레보플록사신)은 성인에게 주로 사용되지만, 소아나 청소년에게는 잘 사용되지 않습니다.
항생제 치료는 대개 7일에서 14일 정도 진행되며, 환자의 상태에 따라 치료 기간이 연장될 수 있습니다. 치료를 시작한 후에는 증상이 점차 호전되기 시작하지만, 완전히 회복되기까지는 몇 주가 걸릴 수 있습니다. 특히 기침은 치료 후에도 몇 주 동안 지속될 수 있습니다.
예방 방법

마이코플라즈마 폐렴은 감염력이 높기 때문에 예방이 매우 중요합니다. 비록 이 질환을 예방할 수 있는 백신은 아직 개발되지 않았지만, 일반적인 호흡기 감염 예방 수칙을 통해 감염 위험을 줄일 수 있습니다. 다음은 일상생활에서 적용할 수 있는 예방 방법입니다.
- 손 씻기: 외출 후, 식사 전후, 기침 또는 재채기를 한 후에는 반드시 비누와 물로 손을 철저히 씻는 것이 중요합니다. 손을 깨끗이 유지하는 것은 다양한 호흡기 감염을 막는 가장 기본적인 방법입니다.
- 기침 예절 준수: 기침이나 재채기를 할 때에는 입과 코를 팔꿈치나 휴지로 가리는 것이 좋습니다. 이렇게 하면 비말에 의해 감염되는 것을 예방할 수 있습니다.
- 씻지 않은 손으로 눈, 코, 입 만지지 않기
- 발열, 기침, 콧물 등 호흡기 증상 있을 시, 의료기관을 방문하여 적절한 진료받기
- 밀접 접촉 피하기: 감염 환자와의 밀접한 접촉을 피하는 것이 중요합니다. 특히 집단생활을 하는 환경에서는 증상이 있는 사람과의 거리를 유지하는 것이 필요합니다.
- 실내에서 자주 환기하기: 사람들이 많이 모이는 공간에서는 자주 환기하여 공기 중에 떠다니는 세균을 줄일 수 있습니다.
- 면역력 강화: 적절한 식사, 운동, 충분한 수면 등을 통해 신체의 면역력을 강화하는 것이 감염을 예방하는 데 도움이 됩니다.
- 어린이집, 유치원, 학교 등 집단시설 내 전파 예방을 위해 환경관리 철저히 하기
합병증
마이코플라즈마 폐렴은 대부분 경미한 증상을 보이며 쉽게 회복되지만, 일부 환자에게서는 심각한 합병증이 발생할 수 있습니다. 특히 어린이, 노인, 면역력이 약한 환자는 주의가 필요합니다. 합병증으로는 다음과 같은 것들이 있습니다.
- 중증 폐렴: 마이코플라즈마 폐렴이 심한 경우, 폐에 염증이 크게 발생하여 호흡이 어려워질 수 있습니다. 이 경우, 산소 치료나 입원이 필요할 수 있습니다.
- 중추신경계 합병증: 드물게, 마이코플라즈마 폐렴은 뇌염, 수막염과 같은 중추신경계 질환을 유발할 수 있습니다. 이는 신경 손상으로 이어질 수 있기 때문에 매우 심각한 상황입니다.
- 심근염: 일부 환자들은 마이코플라즈마 폐렴에 의해 심근염이 발생할 수 있습니다. 이는 심장 근육에 염증이 생겨 심장 기능에 문제를 일으킬 수 있으며, 응급 상황으로 발전할 수 있습니다.
- 빈혈 및 혈액 질환: 마이코플라즈마 감염은 드물게 용혈성 빈혈과 같은 혈액 질환을 유발할 수 있습니다. 이는 적혈구가 파괴되면서 발생하며, 심각한 경우 수혈이 필요할 수도 있습니다.
- 피부 반응: 마이코플라즈마 폐렴과 관련된 스티븐스-존슨 증후군과 같은 심각한 피부 발진이 나타날 수 있습니다. 이 증상은 피부와 점막이 크게 손상되는 상태로, 응급 치료가 필요합니다.
마이코플라즈마 폐렴과 코로나19 비교



마이코플라즈마 폐렴과 코로나19는 모두 호흡기 질환이기 때문에 증상이 유사할 수 있습니다. 기침, 발열, 피로감 등 여러 증상이 두 질환에서 공통적으로 나타날 수 있어 초기에는 구별하기 어렵습니다. 그러나 두 질환은 원인 병원체, 증상 진행 방식, 치료 방법에서 큰 차이가 있습니다.
- 원인 병원체: 마이코플라즈마 폐렴은 세균인 Mycoplasma pneumoniae에 의해 발생하는 반면, 코로나19는 바이러스인 SARS-CoV-2에 의해 발생합니다.
- 증상 차이: 코로나19는 호흡기 외에도 다양한 장기에서 증상을 나타낼 수 있으며, 특히 후각 및 미각 상실과 같은 특이 증상이 나타날 수 있습니다. 반면, 마이코플라즈마 폐렴은 주로 호흡기에 국한된 증상을 보입니다.
- 치료: 코로나19는 바이러스성 질환이므로 항생제는 효과가 없지만, 마이코플라즈마 폐렴은 세균성 감염이므로 적절한 항생제 치료로 치료가 가능합니다.
따라서 두 질환을 구별하기 위해서는 정확한 진단 검사가 필요합니다. PCR 검사 등으로 원인 병원체를 파악하여 적절한 치료 계획을 세우는 것이 중요합니다.
맺음말
마이코플라즈마 폐렴은 비교적 흔한 세균성 폐렴으로, 주로 기침, 발열, 두통 등의 증상을 동반하며 감기와 유사한 경미한 증상에서 시작됩니다. 대부분의 경우 적절한 항생제 치료를 통해 쉽게 치료될 수 있지만, 치료 시기를 놓치면 합병증으로 이어질 수 있으므로 주의가 필요합니다.
따라서, 마이코플라즈마 폐렴은 적절한 예방과 관리로 충분히 극복할 수 있는 질환이므로 건강한 생활 습관을 유지하고, 감염 위험이 있는 환경에서 예방 수칙을 준수하는 것이 가장 중요한 예방책이 될 것입니다.
전세보증금반환보증 가입 보증료 지원 알아보기
최근 전세 계약이 종료된 후에도 보증금을 제때 돌려받지 못하는 사례가 빈번히 발생하고 있습니다. 이러한 문제를 예방하기 위해 도입된 전세보증금반환보증 제도는 임차인이 보증금을 안전
misterdaddy.co.kr
2025년 육아휴직급여 인상 월 최대 250만원, 신청방법
2025년부터 육아휴직급여가 대폭 인상됩니다. 저출생 문제를 해결하고 일과 가정의 양립을 지원하기 위한 정부의 주요 정책으로, 이번 인상은 부모들이 경제적 부담 없이 육아에 전념할 수 있도
misterdaddy.co.kr
65세 이상 코로나19 독감 백신 동시 무료 예방접종 알아보기
오늘은 65세 이상 어르신들을 위한 중요한 정보, 바로 코로나19와 독감 백신의 동시 무료 예방접종에 대해 알아보겠습니다. 다가오는 겨울철을 대비해 건강을 지키는 예방접종은 필수입니다. 특
misterdaddy.co.kr
'소소한 일상의 정보' 카테고리의 다른 글
| 지역사랑 철도여행 철도운임 최대 50%할인 받는방법 (5) | 2024.10.28 |
|---|---|
| 부산지역화폐 동백전 QR결제 추가 캐시백 지급받기 (9) | 2024.10.26 |
| 전세보증금반환보증 가입 보증료 지원 알아보기 (4) | 2024.10.21 |
| 2025년 육아휴직급여 인상 월 최대 250만원, 신청방법 (7) | 2024.10.20 |
| 65세 이상 코로나19 독감 백신 동시 무료 예방접종 알아보기 (9) | 2024.10.17 |